Пятно в правом легком и тянущая боль
-
Автор темыимиль
- Хочу всё знать!

- Всего сообщений: 5
- Зарегистрирован: 08.03.2011
- Откуда: Симферополь
Пятно в правом легком и тянущая боль
Рентген показал пятно в правом легком. Сделал так как тянуло в верхней части груди. Испытывал небольшую боль лежа на боку. По утрам боль немного сильнее. Кашля и температуры нет. Мокрота немного отходит, прозрачная. Ком в горле. Туберкулез исключили и анкологию на предварительном осмотре и при бронхоскопии исключили. Анализы крови без особых изменений от нормы, только после антибиотиков немного повышен урокень лейкоцитов. КТ показал двустороннюю пневмонию под вопросом, так как нет симптомов и тянется такое состояние два с половиной месяца. После курса антибиотиков пятно незначительно уменьшилось. Но не уходит. И боль остается. Что это может быть и как это лечить?
-
Григорий Руденский
- Врач-гомеопат

- Всего сообщений: 8404
- Зарегистрирован: 24.05.2006
- Откуда: Москва
Re: Пятно в правом легком и тянущая боль
Очень желательно прикрепить снимок в хорошем разрешении. Или сделать то же самое на специализированном сайте рентгенологов: radiomed.ru
Запись на консультацию в г. Москве: т. 8-926-522-99-37, 8-499-612-81-25 (с 10 до 22)
-
Автор темыимиль
- Хочу всё знать!

- Всего сообщений: 5
- Зарегистрирован: 08.03.2011
- Откуда: Симферополь
Re: Пятно в правом легком и тянущая боль
Сделал КТ 9.03.11
Если КТ от 26.01.11 выдало заключение двусторонняя пневмония, то КТ от 9.03.11 выдало заключение - признаки перициссурита правого легкого.
В тубдиспансере туберкулез пока исключили.
Анкологию также исклюсили.
Высказали предположение осложнение после гриппа.
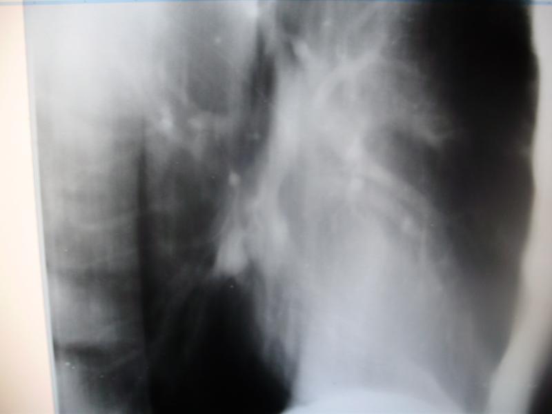
Один из снимков КТ прилагаю
webfile. ru/5179613
пароль 123
Что это все таки может быть?
Если КТ от 26.01.11 выдало заключение двусторонняя пневмония, то КТ от 9.03.11 выдало заключение - признаки перициссурита правого легкого.
В тубдиспансере туберкулез пока исключили.
Анкологию также исклюсили.
Высказали предположение осложнение после гриппа.
Один из снимков КТ прилагаю
webfile. ru/5179613
пароль 123
Что это все таки может быть?
-
Григорий Руденский
- Врач-гомеопат

- Всего сообщений: 8404
- Зарегистрирован: 24.05.2006
- Откуда: Москва
Re: Пятно в правом легком и тянущая боль
Вы не могли бы указать, какой программой открывается файл?
В адресе лишний пробел, но это я поправил.
В адресе лишний пробел, но это я поправил.
Запись на консультацию в г. Москве: т. 8-926-522-99-37, 8-499-612-81-25 (с 10 до 22)
-
Автор темыимиль
- Хочу всё знать!

- Всего сообщений: 5
- Зарегистрирован: 08.03.2011
- Откуда: Симферополь
Re: Пятно в правом легком и тянущая боль
Спасибо Вам за интерес к моей проблеме. Вы знаете у меня открывает в фотошопе. Но наверно один этот снимок ничего Вам не скажет, а вся КТ весит 130 Мб я ее на всякий случай размещу http://gettyfile.com/709074/ (открытья все должно автоматически в спец программе), но скачать ее позволит себе наверно не каждый. Я на днях сканирую все рентгеновские снимки в динамике и размещу здесь. Пока даю описание КТ от 9.03 и 26.01.
КТ от 9.03
"Справа междолевая плевра аплотнена. В S3 и S6 опред. умеренно выраж инфильтрация легочной ткани вдоль междолевых щелей. В междолевой щели небольшое кол-во выпота, плотностью до 20 ед.Н. В ост отдел легоч поля без очаг и инфильт теней. Легочн рис. сохр. Бронхи проходимы не деформ. Средостение не смещ, не расшир. В переднем средостении опред тени лимфоузлов до 1,1 см в диаметре плотн. до 30 ед.Н. синусы свободны. Костно-деструкт изм в позвонках груд отдела не опред. Заключение - признаки перициссурита правого легкого"
КТ от 26.01
"В прав легком в 3 сегменте опред неоднород инфильтрация разм 83х89 мм. Аналогичная инфильтрац опред в 6 сегм прав легк разм 30х22 мм. В левом легком в 3 сегменте опред нежная инфильтративная тень разм 15х13 мм. В легких очаг. теней нет. свободной жидкости в плевральн полостях не опред. В корнях и средостении доп образ и увел л/узл не выявлено. Костно-деструкт изм в иссл обл не опред. Заключение наиболее характерно для 2-сторонней пневмонии"
КТ от 9.03
"Справа междолевая плевра аплотнена. В S3 и S6 опред. умеренно выраж инфильтрация легочной ткани вдоль междолевых щелей. В междолевой щели небольшое кол-во выпота, плотностью до 20 ед.Н. В ост отдел легоч поля без очаг и инфильт теней. Легочн рис. сохр. Бронхи проходимы не деформ. Средостение не смещ, не расшир. В переднем средостении опред тени лимфоузлов до 1,1 см в диаметре плотн. до 30 ед.Н. синусы свободны. Костно-деструкт изм в позвонках груд отдела не опред. Заключение - признаки перициссурита правого легкого"
КТ от 26.01
"В прав легком в 3 сегменте опред неоднород инфильтрация разм 83х89 мм. Аналогичная инфильтрац опред в 6 сегм прав легк разм 30х22 мм. В левом легком в 3 сегменте опред нежная инфильтративная тень разм 15х13 мм. В легких очаг. теней нет. свободной жидкости в плевральн полостях не опред. В корнях и средостении доп образ и увел л/узл не выявлено. Костно-деструкт изм в иссл обл не опред. Заключение наиболее характерно для 2-сторонней пневмонии"
-
Григорий Руденский
- Врач-гомеопат

- Всего сообщений: 8404
- Зарегистрирован: 24.05.2006
- Откуда: Москва
Re: Пятно в правом легком и тянущая боль
Что неприятно, у меня оно ни в чем не открывается. У рентгенологов тоже. Но посмотрим.
Запись на консультацию в г. Москве: т. 8-926-522-99-37, 8-499-612-81-25 (с 10 до 22)
-
Автор темыимиль
- Хочу всё знать!

- Всего сообщений: 5
- Зарегистрирован: 08.03.2011
- Откуда: Симферополь
Re: Пятно в правом легком и тянущая боль
Если Вам удалось скачать всю КТ то пожалуйста кликните в папке на иконку в виде большой синей буквы "М" а затем кнопку "view" это запускает всю программу. спасибо
-
Автор темыимиль
- Хочу всё знать!

- Всего сообщений: 5
- Зарегистрирован: 08.03.2011
- Откуда: Симферополь
Re: Пятно в правом легком и тянущая боль
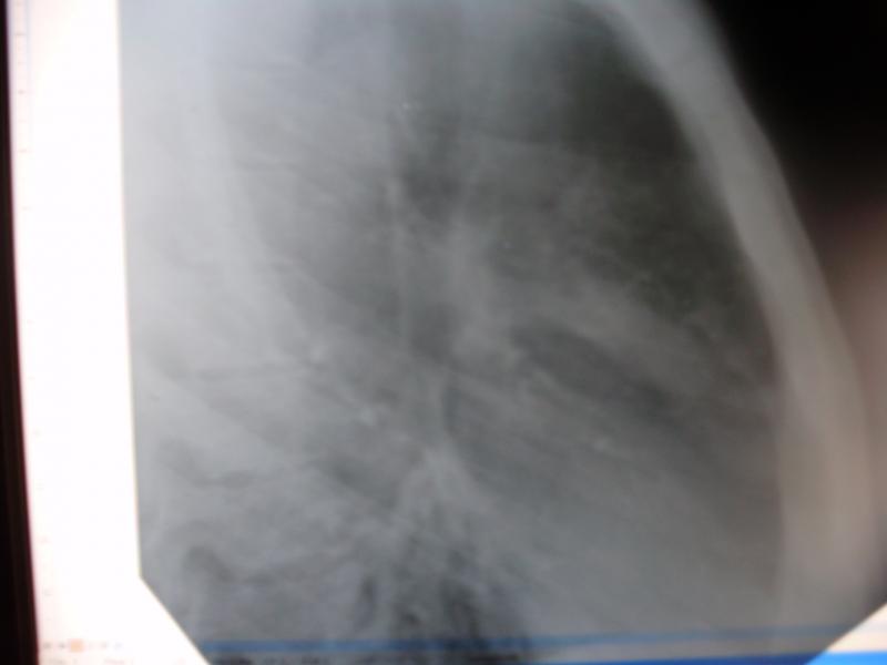
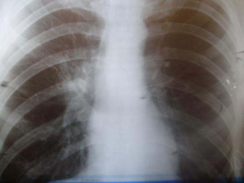
рентгеновские снимки в динамике
Добавлено спустя 2 минуты 31 секунду:
еще один последний снимок
Добавлено спустя 2 минуты 31 секунду:
еще один последний снимок
-

- 10.01.11 - 10.01.11.JPG (26.94 КБ) 7666 просмотров
-

- 13.01.11 - 13.01.11_sboku.JPG (20.7 КБ) 7666 просмотров
-

- 21.02.11 - 21.02.11.JPG (26.89 КБ) 7666 просмотров
-

- 23.02.11 - 23.02.11_sboku.JPG (23.54 КБ) 7666 просмотров
-
Григорий Руденский
- Врач-гомеопат

- Всего сообщений: 8404
- Зарегистрирован: 24.05.2006
- Откуда: Москва
Re: Пятно в правом легком и тянущая боль
Добрый вечер.
Спасибо.
Снимки посмотрели, чтобы не было "испорченого телефона" продолжите общение с рентгенологом.
Спасибо.
Снимки посмотрели, чтобы не было "испорченого телефона" продолжите общение с рентгенологом.
Запись на консультацию в г. Москве: т. 8-926-522-99-37, 8-499-612-81-25 (с 10 до 22)
-
- Похожие темы
- Ответы
- Просмотры
- Последнее сообщение
-
- 1 Ответы
- 5717 Просмотры
-
Последнее сообщение Stan
-
- 0 Ответы
- 418 Просмотры
-
Последнее сообщение Алиса0909
-
- 1 Ответы
- 898 Просмотры
-
Последнее сообщение Григорий Руденский
Мобильная версия

