Арахноидальная киста
-
Автор темыolya_rulezzz
- Всего сообщений: 1
- Зарегистрирован: 17.05.2013
- Откуда: москва
Арахноидальная киста
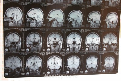
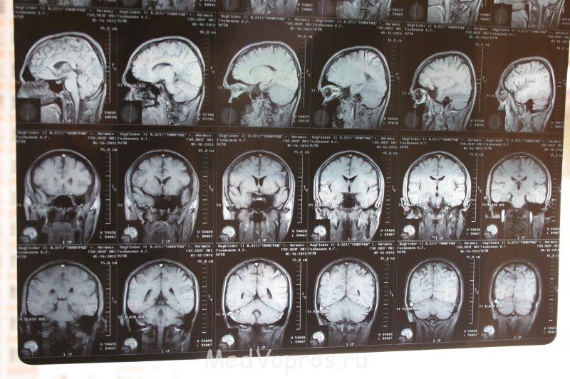
Здравствуйте!!! Моему супругу 37 лет. Его беспокоят частые головокружения и пелена в левом глазу (был у окулиста, сказали что с глазом все в порядке, отправили к невропатологу) Невропатолог назначил диагностику МРТ головного мозга и сосудов. МРТ показало, что никаких патологий не выявлено и сосуды в порядке, но есть арахноидальная киста левой височной доли (в районе левого глаза) размером- 40*20*29 мм. Скажите, пожалуйста, как избавиться от кисты без операции? Может ли она рассосаться или уменьшиться в размерах при принятии лекарств? Какое еще можно сделать обследование и какие сдать анализы, что бы понять причину образования кисты? P.S. в возрасте 17 лет было сотрясение головного мозга с кратковременной потерей сознания, в возрасте 13 лет были 2 приступа продолжительностью 30 минут сопровождающиеся онемением конечностей, несвязной речью, путаностью мыслей и головокружением.
-
Кетеван Мешкова
- Врач-невролог

- Всего сообщений: 1382
- Зарегистрирован: 03.07.2007
- Откуда: Москва
Re: Арахноидальная киста
Добрый день, лекарственными препаратами размер кисты не уменьшить, увы. И кстати, вполне возможно, что это просто находка, а причина страданий Вашего мужа в другом. НА мой взгляд, неплохо было бы сделать электроэнцефалографию и посмотреть ультразвуком магистральные сосуды головы и шеи, включая внутримозговые отделы.
Запись на консультацию в г. Москве: neurology_mv@mail.ru
моб. 8-926-691-89-28 (с 17 до 20)
моб. 8-926-691-89-28 (с 17 до 20)
-
- Похожие темы
- Ответы
- Просмотры
- Последнее сообщение
-
- 0 Ответы
- 694 Просмотры
-
Последнее сообщение Evgesha1984
-
- 0 Ответы
- 633 Просмотры
-
Последнее сообщение ravvesta
-
- 0 Ответы
- 1130 Просмотры
-
Последнее сообщение гульзайра
-
- 3 Ответы
- 886 Просмотры
-
Последнее сообщение Григорий Руденский
Мобильная версия
