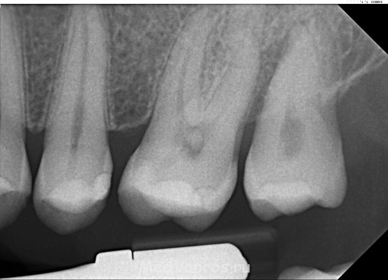
Здравствуйте. У меня болит левая-верхняя часть. Последний зуб. Третий слева зуб вырвали лет 15 назад. Острой боли нет, но кусать не могу. На холодное и горячее не реагирует. Чувствую, что щека немного опухла. Боль длится уже четыре дня, но постепенно спадает.
Кариеса нет. Инфекции нет. Врач попался како-то странный, чего делать сказать не может. Говорит, что десна стерлась. что зуб расшатан (class 2-3). Чего делать, не сказал. Толи вырывать, толи хирургию, а может еще чего. Вот мой ренген. http://i46.tinypic (dot) com/nvqohx.jpg
Дайте, пожалуйста, свою оценку ситуации. И возможно, свои рекомендации.
Вопрос к пародонтологу. Выдерать, операция или подождать?
-
Автор темыsporitus
- Всего сообщений: 1
- Зарегистрирован: 30.08.2012
- Откуда: Moscow
Вопрос к пародонтологу. Выдерать, операция или подождать?
-

- Ренген - Med - tooth 2012 Aug 28.JPG (137.92 КБ) 938 просмотров
-

- Зуб - Med - tooth 2012 Aug 28 - 002.JPG (85.98 КБ) 938 просмотров
-

- Зуб 2 - Med - tooth 2012 Aug 28 - 003.JPG (111.99 КБ) 938 просмотров
-
Григорий Руденский
- Врач-гомеопат

- Всего сообщений: 8404
- Зарегистрирован: 24.05.2006
- Откуда: Москва
Re: Вопрос к пародонтологу. Выдерать, операция или подождать
Я несколько сомневаюсь, что в ближайшее время стоматологи смогут работать он-лайн. Им желателен непосредственный контакт. Для консультации - тоже.
Запись на консультацию в г. Москве: т. 8-926-522-99-37, 8-499-612-81-25 (с 10 до 22)
-
- Похожие темы
- Ответы
- Просмотры
- Последнее сообщение
-
- 0 Ответы
- 1115 Просмотры
-
Последнее сообщение gpd
-
- 1 Ответы
- 839 Просмотры
-
Последнее сообщение Кетеван Мешкова
-
- 0 Ответы
- 1337 Просмотры
-
Последнее сообщение Елена Ktycrfz
-
- 2 Ответы
- 782 Просмотры
-
Последнее сообщение Гладченко Виктория
-
- 1 Ответы
- 623 Просмотры
-
Последнее сообщение Григорий Руденский
Мобильная версия

